症例4

左趾骨骨骨折(第4趾)

47歳 男性

負傷年日   平成11年7月2日

負傷原因   自宅居間で家人が寝ていた足につまずき転倒した際負傷

7月2日受傷

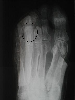
第4趾骨折、第3趾不全骨折

皮下溢血,腫脹,圧痛、歩行痛著明

外観写真

整復方法

末梢方向に持続牽引し側方圧を加え完了

  • 右側は、足底部で第1趾のMP関節までくりぬく。
  • 左側は、背側部で第2,3,4,5趾を覆いリスフラン関節まで固定する。

固定具を裏側から見たところ

 

ボール紙にアルミ板を貼り付け補強してある

7月19日整復固定後のx-p

固定具装着での日常動作,歩行には支障が無い

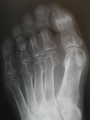
10月6日 受傷後96日目

10月13日 

日常動作には支障なく経過良好にて治癒とす

このページノトップへ戻る 骨折症例