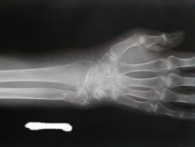
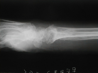
右前腕骨骨折
T5.11.2生まれ  男性
負傷日時 平成13年11月26日
自宅寝室からトイレに行きしなに、廊下で転倒した際に手をつき負傷

受傷時撮影1 受傷時撮影2
整復固定後再転位
再整復固定
53日目
日常動作に支障なく経過良好にて治癒とする
骨折症例