症例
3
左前腕骨骨折(コーレス骨折)
85
歳 女性
負傷年日 平成11年1月21日
負傷原因 自宅玄関で足元を滑らし転倒した際、手をつき負傷
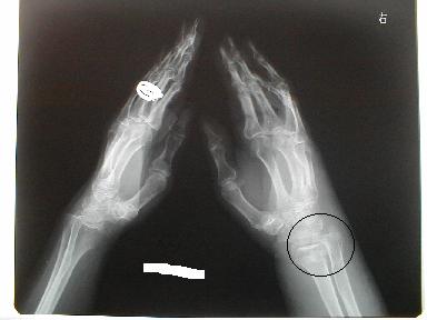
1月21日受傷 正面像
とう骨下端 尺骨茎状突起骨折
皮下溢血、腫脹著明で運動制限有り
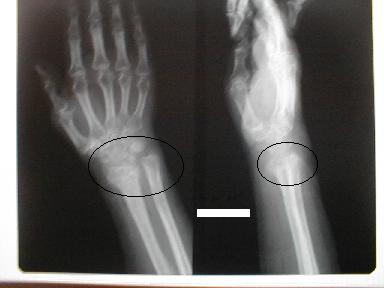
側面像
1月23日整復固定 正面像
側面像
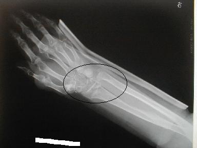
2月3日正面像
側面像
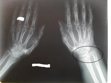
2月25日
3月25日
日常動作には支障なく経過良好にて治癒とする
骨折症例