症例6
右鎖骨骨折
86歳 女性
負傷年日 平成10年10月11日
負傷原因 自宅の物干し場で上を見上げて洗濯物を干していてフラフラとなり、転倒負傷
|
 |
 |
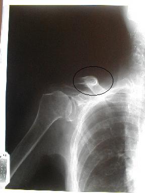
10月24日受傷13日目
当初さほどに痛みを感じなかったので我慢していたが、徐々に肩に違和感を訴え我慢できず来院レントゲン検査したところ骨折を認める
皮下溢血,腫脹,圧痛
整復固定は、症例2を参照
|
 |
 |
10月28日整復固定x-p
整復固定は、症例2を参照
|
 |
| 11月21日受傷後41日目 |
|
 |
 |
 |
| 12月26日受傷後77日目 |
|
 |
 |
|
受傷者が高齢で、なおかつ固定を嫌い早期〔30日間)に除去を願った為変形治癒となった。しかし、上腕挙上も可能で、日常生活動作には何ら支障はない。
|
骨折症例 |
|
 |
|
|