症例5
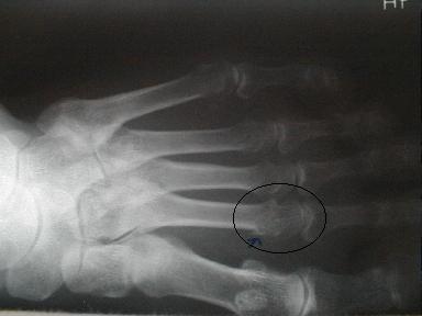
第2趾中足骨骨折
56歳 男性
負傷年日 平成11年8月6日
負傷原因 自宅でテーブルに上げてあった椅子が落ち負傷
|
 |
 |
8月6日受傷
第2中足骨骨折
皮下溢血,腫脹,圧痛、歩行痛著明
|
 |
 |
8月13日
整復方法
末梢方向に持続牽引し側方圧を加え完了
受傷時8月6日のx-pでは骨折が確認出来ずに他の医院で打撲として治療していたもので、再度x-pを撮ったところ骨折が確認できた固定をしなかった為に骨に無理な力が加わったものと思われる。固定の重要性が認識される。
|
 |
固定具
|
|
| 9月10日固定除去し9月30日経過良好にて治癒とす |
|
骨折症例 |
|
 |
|